

















Highly recommend Above and Beyond! Dr Low, Jessi, Lisa/front office are an amazing team, dedicated to taking great care of their patients. Clearly a quality patient centric practice you can have confidence in!
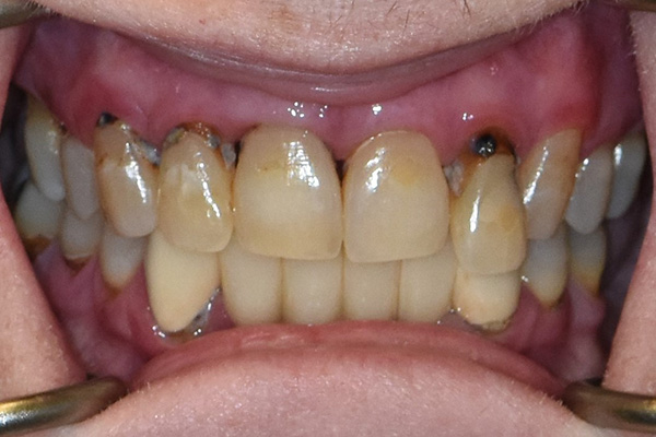
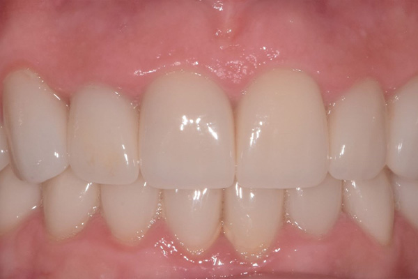
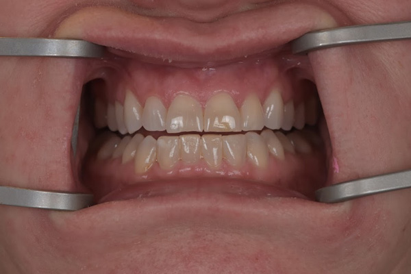
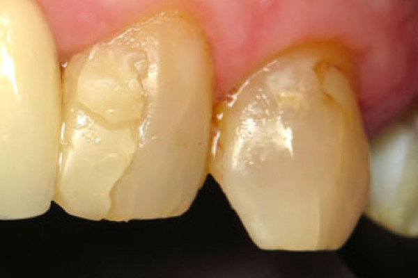
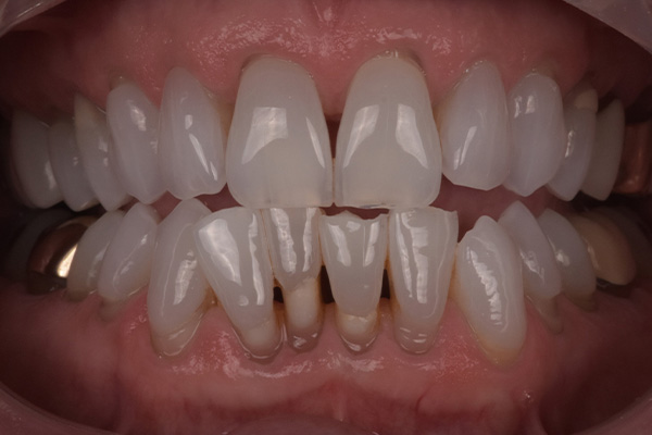
Going to the dentist is rarely something you look forward to, however Dr. Low and his team do a fantastic job of making sure it's not something you have to dread. Over five years of service, I've received root canals, fillings, crowns, deep root scaling - you name it; and not only has all of the work held strong, the experience was the best I've had anywhere. The staff treats you like family, and they're always friendly, personable, and concerned for your comfort. Hard to imagine there's anywhere better in Clark County
I've being going to Above & Beyond for many years now and continue to get amazing service. The recepetionists, hygienists, and Dr. Low are professional and very friendly. They explain questions or concerns thoroughly and I have never felt pressured when making decisions.
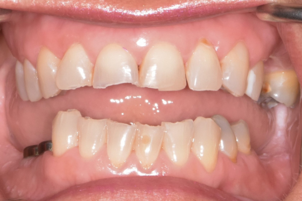
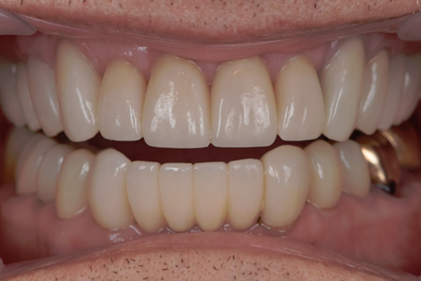
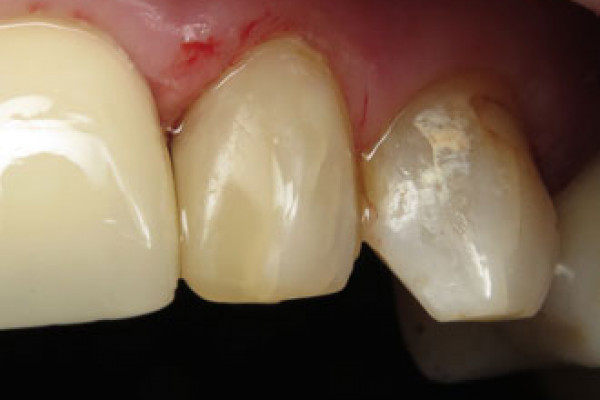
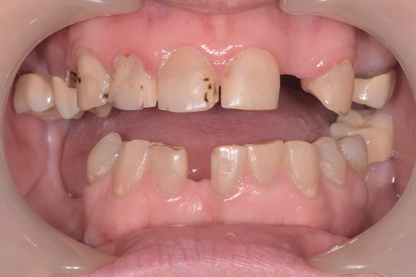
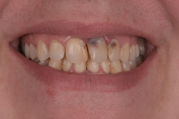
Amazing team who really keep my personal goals of quality care in prolonging the life of my teeth and setting attainable goals to get them back to great health. They paid close attention to my hopes of keeping it affordable since I’m a single mom of one, my teeth have been the last of my priorities for the last three years due to finances. Thank you Above & Beyond Dentistry & Implants! Looking forward to a life long relationship with you all.
Dr. Low and his staff care about their patients and make you feel comfortable during your time with them. They make your dental experience as painless as possible.
(Usual value $425)
Office tour, 3D CT X-ray, meet with Dr. Low, learn about the treatment options and get all your questions answered!